An In-depth Look At Laminitis
Share
What Is Laminitis?
Laminitis is an excruciating and debilitating disease caused by inflammation of the laminae of the foot (the soft tissue structures that attach the coffin/pedal bone of the foot to the hoof wall). The inflammation and damage to the laminae cause extreme pain and leads to instability of the coffin bone in the hoof. In more severe cases it can lead to complete separation and rotation of the pedal bone within the hoof wall.


Figure A shows a healthy hoof with the pedal (coffin) bone attached to the hoof wall, while in Figure B we can see that the pedal bone has detached from the hoof wall.
Is Laminitis Curable?
Most horses and ponies can recover from laminitis, but this depends on how severe the problem is when first diagnosed, and how soon the treatment starts. Prevention is always better than cure, and if the laminitis is not treated quickly or correctly, it can cause permanent damage, which in extreme cases may result in euthanasia.
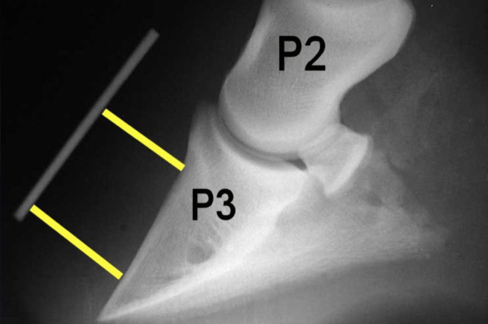
The Anatomy Of The Hoof Wall
The hoof wall is made up of an interlinked outer insensitive layer (horn) supported by an underlying inner sensitive layer (laminae). In laminitis, the blood flow to the laminae is affected, resulting in inflammation and swelling in the tissues within the hoof, causing severe pain. If the laminae are starved of oxygen and nutrient-rich blood, the cells become damaged. Unless the cause is removed and treatment is started immediately on the first signs of the condition, the sensitive laminae will begin to die.

Why Are The Laminae So Important?
The laminae are responsible for supporting the pedal bone in the hoof and therefore the weight of the animal. In severe cases of laminitis the pedal bone can sink and rotate due to the inability of the damaged laminae to support it, and from the pull of the deep digital flexor tendon. If the pedal bone sinks too far, it can be seen to protrude from the sole of the foot.
Laminitis can affect any of the feet but usually in the front feet.
What Can Cause Laminitis?
Over Weight and Excess Calories; When a horse is receiving more calories (such as overfeeding grain-based feed) than it can burn off, it can quickly put on weight, becoming very detrimental to the horse’s health if it turns from being overweight to obese. Excess weight adds an increased strain on the horse’s vital organs as well as its limbs.
Overfeeding horses and ponies; This is a common cause for laminitis particularly during the spring and autumn months when the grass is high in sugar/fructan (a type of storage sugar (oligosaccharide).
High-sugar/fructan grass is usually found in spring or autumn, but also possible in winter where there is frosted grass.
Frosted grass is high in sugar/fructan due to low temperatures, lack of rainfall and poor fertility preventing growth, causing sugar levels in the grass to be stored making it very unsuitable for insulin resistant horses and ponies and increasing the risk of laminitis.
Stress; A dramatic change in environment and or frequent traveling, particularly for overweight animals, can trigger laminitis. Mares are also at risk shortly after foaling as a consequence of the additional physical stress.
Severe infection; Toxaemia (‘blood poisoning’) can result from any conditions where an animal suffers a severe bacterial infection, such as retention of the placenta after foaling, an acute colic attack or prolonged diarrhoea.
Concussion and lameness; A horse working fast and for a prolonged period on a hard surface (such as trotting on roads) can affect the laminae, especially if the horse has poor quality hooves — the laminae suffering trauma in this way can bring on a bout of laminitis. Trauma is resulting from excess work in unshod horses on hard ground surfaces, or over-enthusiastic hoof trimming.
Lameness which prevents weight bearing in one leg can lead to laminitis in another supporting limb.
Cushing’s disease; The condition is associated with an abnormality in the pituitary gland, found at the base of the horse’s brain. As a result of this abnormality, the horse can suffer from excessive thirst and appetite. The coat becomes very curly, and the horse generally sweats a lot and can lose weight. In addition to these symptoms, horses do in many cases suffer from laminitis as a result of having Cushing’s disease.
Symptoms Of Laminitis
Acute laminitis; Acute laminitis symptoms generally come on very suddenly and are severe. With acute laminitis the horse will show an inability or reluctance to walk or move and may lie down, displaying an unwillingness to get up. The horse will be visibly lame especially when moving on a circle or a hard surface and will have an increased digital pulse in the foot. The horse, when standing, may well lean back on to its hind feet to relieve the pressure on its front feet.
The horse will have pain in front of the point of frog and when walking may place its heels down first rather than its toes. There can also be symptoms shown vaguely similar to colic.
Chronic laminitis; A horse with chronic laminitis will show signs of ongoing symptoms that are generally a result of relapse from previous attacks.
The horse’s hoof will have the appearance of growth rings around the hoof wall, which generally indicates that it has suffered from laminitis in the past. However, these should not be confused with hoof rings, which are due to changes in nutrition or to stress.
The heel will often grow faster than the toe, and the white line in the hoof will have widened. The horse may well have a large crest, which runs along its neckline.
How To Prevent Laminitis
If you suspect that your horse or pony has laminitis contact your vet straight away for diagnosis and to start your treatment plan immediately. Correct treatment plan needs to be administered as soon as possible to prevent any lasting damage to the feet and provide pain relief.
It is advisable to stable your horse or pony with a deep bed of either shavings, cardboard or sand. The bedding needs to be able to mold into the hoof and around the frog to provide support. Remove any feed including molasses licks always ensure there is clean, fresh water available for your horse. It is vital that your horse or pony is not starved due to the predisposition to hyperlipaemia in obese ponies. Your vet will be able to advise on a suitable diet. If your horse doesn't like to be without a companion make sure one is nearby as stress can be a contributing factor to laminitis, so it is essential to make sure your horse is in an environment where they feel comfortable.
Horses or ponies suffering from laminitis should not be made to stand in a stream or to have their hooves cold hosed, although it may initially make them more comfortable, prolonged cold to their hooves will aggravate the condition. Your vet may advise that x-rays need to be taken of the feet to show how much (if any) rotation has occurred. A farrier may also need to attend under vet supervision to correct the rotation and make sure the feet are in the best condition to facilitate recovery.
Once your horse or pony has been seen to by your vet it is vital they stick to their treatment plan to make a full recovery, from there on it is essential to keep them on a strict diet plan suitable to their workload, dieting horses or ponies should be given around 1.25-1.5 percent of their body weight in food including any grass and hay intake. Follow the rule of feeding little and often, as this mimics the horse’s natural feeding pattern and will help keep the digestive system working correctly. It will also satisfy the horse’s need to chew and prevent boredom in their stable. Contacting a nutritionist will help you make sure your horse or pony is on a correct diet suitable for them.
Regular exercise, this will help your horse stay fit, active and healthy stopping them from becoming overweight. Regular visits from your farrier strictly every four to five weeks, depending on your horse or pony, will keep their hooves trimmed, and in the best possible condition to prevent laminitis. Feeding a good quality hoof supplement will promote good healthy hoof growth.
It is important that you only feed products that are high fibre, low carbohydrate and low in sugar. It is advisable to avoid all cereal mixes and molasses feed products, introduce a probiotic supplement to your horse's diet will maintain a healthy hind gut.
Restricted grazing, this is a necessity, rotation of small stripped paddocks will control your horse or ponies grass intake. During spring and autumn when the grass is very high in soluble carbohydrates (fructans), which can lead to laminitis if ingested in large amounts, try turning your horse or pony out at night and bringing them in during the day, this can help as there are fewer fructans in the grass at night. Your horse or pony should not be turn out at all on lush grass or frosted.
Turning out a group of horses and ponies together that need to be in controlled grazing will help with natural behaviors and prevent any of them becoming stressed or depressed from being lonely.
Below we have listed some of the common signs; if shown by a laminitis-prone horse or pony, they should be immediately taken off the grass.- If your horse shows signs of lameness or "pottery" remove him from the grass until he is completely sound again.
- If your horse or ponies crest becomes hard again immediately remove him from grass until it softens.
Daily checking your horse or ponies digital pulse is vital to detect any changes quickly to allow action taken straight away.